刘大爷因身体不适到区医院检查。

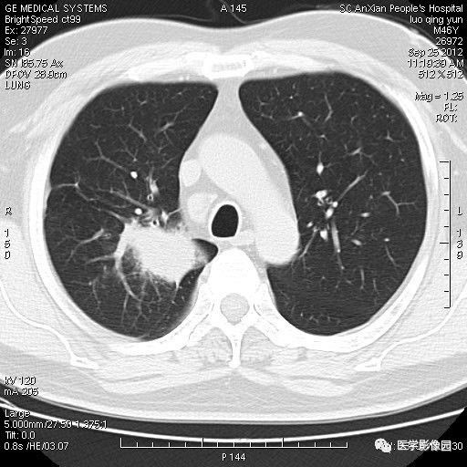
影像学诊断为:考虑右上肺癌伴肺内转移,请结合临床。

  临床医生根据影像学诊断情况建议刘大爷转上一级医院进一步检查确认。刘大爷及家属得知该诊断结果后,心急如焚,在其后20多天的时间里,辗转多家医院进行治疗,后到上海某医院住院,出院诊断为肺炎性假瘤。
  刘大爷认为,由于区医院的误诊,其花费了大量的时间、人力、财力进行复诊,给家庭造成了巨大的经济损失和精神损害。故刘大爷一纸诉状,将医院诉至人民法院,要求赔偿经济损失及精神损害。
故事三.jpg